PREVALENCE OF ELONGATED STYLOID PROCESS IN YEMENI POPULATION OF SANA’A CITY, YEMEN
Keywords:
Eagle’s syndrome, panoramic radiographs, prevalence, styloid process, Yemeni populationAbstract
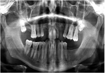
Background and Aim: The styloid process (SP) is a cylindrical bony projection that originates from the inferior part of the petrous temporal bone, directly in front of the stylomastoid foramen. Numerous ligaments, muscles, and nerves are intimately associated with the (SP). When the measurement is more than 30 mm, it is deemed elongated. ES which is typified by a variety of neck and head pains, as well as tinnitus, earache, trigeminal neuralgia, and headache, is related to the elongation of the SP (ESP).The reason of the survey was to look into the ESP prevalence, shape, and calcification pattern in the Yemeni community in Sana'a City, as well as how these factors relate to subgroups and gender.
Methods: This study explored OPG of 1176 Yemeni subjects over the age of 14 years. Some radiograph together with a suspected SP was disregarded from the study. The obvious SP length was calculated by a single qualified maxillofacial and dental radiologist. The distributions of the SP according to sex, age, different types, styloid process length classifications, and differences in the mean length of the ESP in Yemenis were calculated.
Results: The study screened Yemenis for Eagle syndrome, with 35% males and 65% women, with 49.3% having the condition. Styloid process elongation was categorized into elongated type I (20.4%), segmented type III (15.4%), pseudoarticulated type II (2.9%), and type IV elongation due to distant ossification (4.3%). The mean length of the ESP was 29.97±8.17 mm, with no significant differences detected in different age groups.
Conclusion: With or without symptoms, panoramic radiographs are a cost-effective, readily available, and practical diagnostic technique for the early identification of an extended styloid process. Larger sample sizes, however, would be useful in determining how common this extended styloid process is among Yemenis in different areas.
Peer Review History:
Received 4 August 2025; Reviewed 11 September 2025; Accepted 18 October; Available online 15 November 2025
Academic Editor: Dr. Iman Muhammad Higazy
, National Research Center, Egypt, imane.higazy@hotmail.com
Reviewers:
Dr. George Zhu, Tehran University of Medical Sciences, Tehran, Iran, sansan4240732@163.com
Dr. Gülay B Anadolu, Anadolu University, Eskisehir, Turkey, gbuyukko@anadolu.edu.tr
Downloads
Published
How to Cite
Issue
Section
Copyright (c) 2025 Universal Journal of Pharmaceutical Research

This work is licensed under a Creative Commons Attribution-NonCommercial 4.0 International License.




.