COMPARATIVE RADIOLOGICAL STUDY OF BONE DENSITY AND THICKNESS BETWEEN OPEN AND CLOSED REDUCTION OF COMMINUTED MANDIBULAR BONE FRACTURE
Keywords:
bone density, bone thickness, comparative radiological study, gunshot injury, intermaxillary fixation, mandibular bone fracture, open reduction internal fixationAbstract
Background and Objectives: Mandibular fractures, often caused by trauma, can lead to significant functional and aesthetic impairments, including difficulty chewing and speaking, and facial deformities, especially when comminuted. This study compares bone density and thickness in patients with comminuted mandibular fractures resulting from gunshot wounds, using advanced radiological methods to determine treatment efficacy and inform clinical decisions.
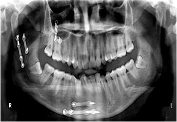
Subjects and Methods: This retrospective study compared the treatment of comminuted mandibular fractures resulting from gunshot wounds at Sana'a Military Hospital. The study included patients who underwent open or closed reduction, and demographic data, injury characteristics, and post-treatment examinations were collected. Bone density and thickness were measured using cone-beam computed tomography (CBCT) or CT scans, and statistical analysis was performed to compare the two groups.
Results: The study included five patients in each group who underwent intermaxillary fixation (IMF) and open reduction internal fixation (ORIF). The age distribution of patients was heterogeneous, with 30% between 22 and 24 years old, 20% between 25 and 27 years old, 30% between 28 and 30 years old, and 20% over 30 years old. Malunion was the most common complication, followed by bone loss in 30% of patients. No significant differences in bone density and thickness were observed between the IMF and ORIF groups at the site of injury.
Conclusion: Ultimately, a patient's previous bone density is the determining factor in determining the appropriate treatment for a jaw fracture and is not a criterion for comparison between IMF and ORIF. Although both treatments have risks and benefits, the success of the outcome depends on the quality of the underlying bone to ensure stable healing.
Peer Review History:
Received 6 August 2025; Reviewed 12 September 2025; Accepted 22 October; Available online 15 November 2025
Academic Editor: Dr. Sally A. El-Zahaby
, Pharos University in Alexandria, Egypt, sally.elzahaby@yahoo.com
Reviewers:
Dr. Mahmoud S. Abdallah, University of Sadat city, Egypt, dr_samy777@yahoo.com
Dr. Mohamed Salama, Modern University for Technology & Information, Egypt, salama47@yahoo.com
Downloads
Published
How to Cite
Issue
Section
Copyright (c) 2025 Universal Journal of Pharmaceutical Research

This work is licensed under a Creative Commons Attribution-NonCommercial 4.0 International License.




.